Compassionate Care for the Whole Family at Dental Arts of Salem, NH

You have found a place in Salem NH where the practitioners and their support staff are 100% motivated by their passion for helping every patient maintain excellent dental and oral health. One thing we know at Dental Arts of Salem in Salem NH without a doubt is, how closely your overall health is associated with your oral health. Our dental team is honored by every patient in Salem NH who chooses our dental team to help them maintain their beautiful smile and optimal oral health.
WE'RE HERE TO ANSWER YOUR QUESTIONS!
Call (603) 898-9180 TodayWe Welcome Patients of All Ages
From young tots just getting their first teeth to our seniors who might need special care to preserve their teeth, we are very happy to treat all ages at Dental Arts of Salem. Our family dentist offers a wide array of services and have ensured we have the skills to treat virtually any dental situation which may arise helping optimal oral health, whether it’s something simple like a child’s very first filling, the complicated extraction of a wisdom tooth, or affordable dentures supported by dental implants for missing teeth.
Make an appointment today. Call (603) 898-9180.
We’ll give you a reason to smile!
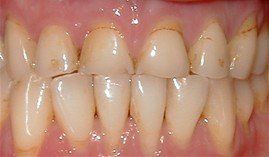
SMILE GALLERY
Before:
Patient needs Upper Arch Rehabilitation. Presents with Upper Anterior Teeth that are stained, incisal edges (tooth edges) are worn down and chipped, and gumline recession is present.
After:
Smile restored with placement of 8 Upper All Porcelain Crowns (caps). Gumline and incisal edges are now uniform. Patient now has longer, better shaped teeth to enhance the smile line and aid in chewing/biting function.
SCHEDULE AN APPOINTMENT

We accept most major dental insurance, including Delta Dental Insurance Plans, Guardian Direct Insurance, Cigna, and Metlife.







