SMILE GALLERY
IMPLANTS – GALLERY
(Note: Patients depicted in photos have provided their consent to display their pictures online. Each patient is unique, and results may vary. Please contact us if you have questions or wish to schedule an appointment.)
DENTAL IMPLANTS & FULL MOUTH RECONSTRUCTION
(Note: Patients depicted in photos have provided their consent to display their pictures online. Each patient is unique, and results may vary. Please contact us if you have questions or wish to schedule an appointment.)
DENTURES & PARTIAL DENTURES – GALLERY
(Note: Patients depicted in photos have provided their consent to display their pictures online. Each patient is unique, and results may vary. Please contact us if you have questions or wish to schedule an appointment.)
CROWNS (CAPS)
Before:
Front (left) Central Tooth has a poor restoration. Does not look natural and is not contoured properly to match the gumline of the rest of the teeth.
After:
Replaced with an All Porcelain Crown (no metal). Tooth is now contoured to match the rest of the gumline. Restored tooth looks very natural and matches the shape and color of the patient’s teeth.
(Note: Patients depicted in photos have provided their consent to display their pictures online. Each patient is unique, and results may vary. Please contact us if you have questions or wish to schedule an appointment.)
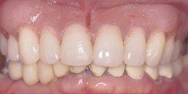
PORCELAIN CROWNS – GALLERY
Before:
Patient needs Upper Arch Rehabilitation. Presents with Upper Anterior Teeth that are stained, Incisal Edges (tooth edge) are worn down and chipped, and Gumline Recession is present.
After:
Smile restored with placement of 8 Upper All Porcelain Crowns (Caps). Gumline and Incisal Edges are now uniform. Patient now has longer, better shaped teeth to enhance the smile line and aid in chewing/biting function.
(Note: Patients depicted in photos have provided their consent to display their pictures online. Each patient is unique, and results may vary. Please contact us if you have questions or wish to schedule an appointment.)














