Prosthodontics: Restoring Your Smile with Expert Care at Dental Arts of Salem

When it comes to restoring a beautiful, functional smile, prosthodontics offers the advanced dental solutions needed to enhance both appearance and oral health. At Dental Arts of Salem, our team, led by experienced dentists Dr. Sameer Dogra and Dr. Sonia Nagi, provides comprehensive prosthodontic care that restores both form and function to your smile. Whether you're in need of dental implants, crowns, bridges, or dentures, we use the latest techniques and technology to ensure that you receive the highest standard of care.
What is Prosthodontics?
Prosthodontics is a branch of dentistry that deals with the restoration and replacement of damaged or missing teeth. Prosthodontists are specially trained to design, fabricate, and fit artificial dental devices to restore the natural function and aesthetics of your smile. Prosthodontic treatments help patients improve their ability to chew, speak, and smile with confidence.
Types of Prosthodontic Services Offered at Dental Arts of Salem
At Dental Arts of Salem, we offer a wide range of prosthodontic treatments tailored to meet each patient’s unique needs. Whether you have a single missing tooth or require a full smile makeover, our team is here to provide personalized solutions that restore your dental health and appearance.
Why Choose Dental Arts of Salem for Prosthodontics?
At Dental Arts of Salem, we understand that every patient has unique needs when it comes to prosthodontic care. Our team is committed to providing high-quality, individualized treatment that restores not only the appearance of your smile but also its function. Here are a few reasons why our patients trust us with their prosthodontic care:
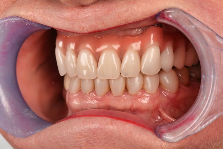
Dental Implant Transformations

The Benefits of Prosthodontic Treatments
Prosthodontic treatments offer numerous benefits beyond just improving the appearance of your smile. Here are some of the key advantages:
Schedule Your Prosthodontic Consultation Today
If you’re looking to restore your smile with expert prosthodontic care, Dental Arts of Salem is here to help. Our skilled team, led by Dr. Sameer Dogra and Dr. Sonia Nagi, offers a wide range of services to meet your needs. Whether you’re in need of dental implants, crowns, bridges, or dentures, we can help you achieve a healthy, functional, and beautiful smile.
Contact us today at (603) 898-9180 to schedule your consultation and learn more about how prosthodontics can transform your smile.
SCHEDULE AN APPOINTMENT
We accept most major dental insurance, including Delta Dental Insurance Plans, Guardian Direct Insurance, Cigna, and Metlife.
Prosthodontics










